
Cdla. Kennedy Norte.
Av. Luis Orrantia y
Nahim Isaías.
Edif. Classe 2do Piso
Oficina 204
Guayaquil - Ecuador
Telf: (593) 04-268-0752
Celular: (593) 096-900-8700
Somos un Centro Integral que ofrece servicios odontológicos en todas sus especialidades de forma personalizada.
Contamos con un equipo de profesionales altamente calificados, enfocados en satisfacer las necesidades del cuidado bucal de nuestros pacientes mejorando su calidad de vida

Devolver la sonrisa a nuestros pacientes implementando los más altos estándares de calidad, tecnología y servicio.
Mantenernos en constante innovación para brindar a nuestros pacientes un servicio personalizado 360.
Servicios Odontológicos
Diagnóstico Rx y T/C
Es el estudio de las imágenes tridimensionales de los dientes, huesos, tejidos y trayectoria de los nervios permitiendo precisión en los tratamientos.

Implantología
Es la colocación de materiales biocompatibles dentro o sobre los huesos
de los maxilares para dar apoyo a una rehabilitación dental.

Cirugía Bucal
Extracción de terceros molares, quistes y tumores bucales, regeneración ósea de los maxilares, corrección de frenillos, cirugía mucogingival y bichectomía.

Rehabilitación Oral
Se encarga de la restauración, función y armonía oral mediante prótesis dentales debido a pérdida de dientes, buscando una oclusión y función correcta.

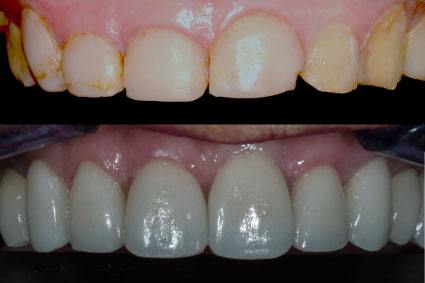
Diseño de Sonrisa
Análisis y procedimientos para cambiar el color, tamaño, forma y posición de los dientes con el fin de brindarle armonía y estética al rostro.

Ortodoncia
Se encarga de todo el estudio, prevención, diagnóstico y tratamiento de las anomalias de forma, posición, relación y función de
las estructuras dentomaxilofaciales.

Endodoncia
Tratamiento que consite en atender las enfermedades de la pulpa dental (nervio); posterior relleno y sellado de la cavidad pulpar con un material inerte.

Odontopediatría
Tratamientos dentales en niños y adolescentes, reconociendo temprana y optimamente las enfermedades dentales, así como la rehabilitación bucal.

Laboratorio Dental
Contamos con un laboratorio dental exclusivo para nuestros pacientes, garantizando un mejor control de nuestros tratamientos.
Detrás de cada tratamiento, siempre hay un profesional especializado.
Qué podemos hacer por tí?
Tratamientos Efectuados
Carillas de Porcelana


Coronas Pediátricas


Blanqueamiento Dental


Implantes


Restauraciones


Encerado Diagnóstico


Correcciones Dentarias (Ortodoncia)




Horarios de atención
Lunes - Viernes 9:00 a 18:00
Sábado 9:00 a 13:00
Estamos ubicados aquí

Equipo de Profesionales

Dra. Sonia Chávez
Rehabilitación y Estética Dental

Dr. Alejandro Luna
Odontólogo General

Dra. Aracely Cumba
Ortodoncista

Dr. Andrés Intriago
Cirujano e Implantólogo

Dra. Diana Pernia
Endodoncista

Dra. Gloriana Portocarrero
Odontopediatra
Testimonio de Clientes
Karl Haarala
Atleta - ALTITUDETRAINING.TV

Andrea Luna
Administradora

Karen Sicouret
Administradora

Martha María Sánchez del Campo Latifa
